显微镜下的动物细胞
- 典型的动物细胞直径为10–20μm,大约是肉眼可见的zui小颗粒大小的五分之一。
- 在显微镜下,动物细胞根据细胞类型而有所不同。但是,内部结构和细胞器或多或少相似。
- 动物细胞通常是透明无色的,并且细胞的厚度在整个细胞质中都不同。
- 与植物细胞相比,动物细胞由于没有细胞壁,因此具有更多形的形状,因此可以在整个生命周期中改变其形状。
直接观察
- 由于动物细胞是透明且无色的,因此直接观察而不染色是一项挑战。
- 但是,在相差显微镜下,由于细胞核比细胞的其他部分致密,因此可以看到其为固体结构。
- 细胞膜表现为包围细胞内部所有成分的边界。
- 但是,直接观察可以观察活细胞,而在样品制备过程中不会丢失或扭曲任何成分。

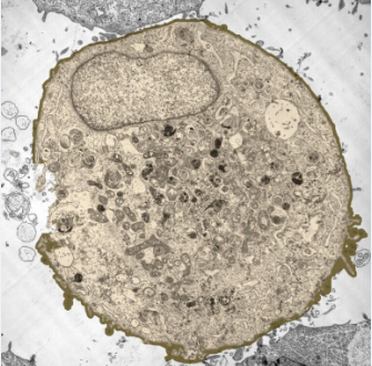
图:显微镜下的动物细胞。
- 染色允许观察存在于细胞质中的细胞器。
- 单独的染色剂可用于染色细胞的不同部分,从而可以更详细地研究细胞的不同成分。
- 在低倍显微镜下,细胞膜被观察为细线,而细胞质被完全染色。
- 细胞器被视为整个细胞质中的小点,而细胞核被视为厚厚的液滴。
- 在更高功率的显微镜下,还可以看到线粒体和核糖体等细胞器。
- 在某些细胞中,还可以看到存在于细胞核内的染色体。
- 就组织而言,还可以观察到其他结构,例如微绒毛和纤毛。
相关文章
- 生物显微镜在生命科学中的应用
- 偏光显微镜:科学探索的新视窗
- "光切法显微镜的应用与技术发展"
- 一:使用生物显微镜的正确操作指南
- 一:光切法显微镜的基本原理与应用
- 相衬显微镜是用于观察物体内部结构和精细形态的技术工具,通常应用于科学研究、材料分析以及医学领域等。它通过将两个或多个不同颜色的光源同时照射到被观察对象上,形成对比强烈的光谱图案来提高观察效果。使用相衬显微镜时,需要确保两束光的方向、强度以及位置都精确匹配,以获得最佳图像质量。
- 生物显微镜是一种精密光学仪器,广泛应用于生命科学领域。它能够放大物体的细节,帮助科学家观察细胞、组织和器官的结构和功能。以下是一些关于生物显微镜的重要信息:
- 体视显微镜:从基础到应用






